Boğaz iltihabı nedenleri ve tedavisi

Uzman SühaN

Administrator
Boğaz iltihabı nedenleri ve tedavisi
Boğaz iltihabı, boğazdaki dokuların genelde bakteri ve virüsler nedeniyle iltihaplanmasıdır.
Boğaz İltihabı Belirtileri
İltihap kapan boğaz, ağrılı ve kaşıntılıdır. Savunma katmanları tahriş olmuş durumdadır. Ek olarak aşağıdaki belirtiler de görülür:

Yutkunmakta güçlük
Boğazda kuruluk
Bazen lenf bezlerinde şişlik
Boğaz akıntısı, balgam, öksürük
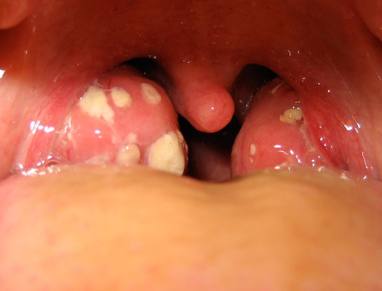
Bademcikler üzerinde beyaz lekeler
Seste çatallaşma, boğukluk ve kısıklık
Daha ciddi hastalıklardan kaynaklanıyorsa bazen şunlar da görülebilir:





1.jpg






Ateş
Eklem ağrısı
Deride döküntü
Nefes darlığı
Boğaz İltihabının Nedenleri
Bakteri ve Virüsler
Boğaz iltihaplarının çoğu bakteri ve virüsler yüzünden ortaya çıkar. Çoğu ayrıca üst solunum yolu enfeksiyonları diye de anılır. Boğaz iltihabına neden olabilecek bazı hastalıklar şunlardır:

Soğuk algınlığı ve grip virüsleri
Streptokok bakterileri
Larenjit
Kuşpalazı (difteri)
Öpüşme hastalığı (mononükleoz)
Suçiçeği ve kızamık
Boğmaca
Faranjit
Reflü
Midemizin girişinde bir büzme kası bulunur, mide içeriğinin yukarı çıkmasını engeller. Bu kas zayıflarsa mide asiti yukarı çıkarak boğazı tahriş edip, iltihap kapmasına neden olabilir. Ayrıca göğüste yanma hissi oluşur.Alerji
Küf, polen ve bazı kimyasallara (parfüm vb.) karşı alerjisi olan kişilerde boğaz iltihabı ve tahrişi söz konusu olabilir.

Tahriş Edici Madde ve Ortamlar
Boğazın nemli kalması gerekir. Kuru havaya uzun süre maruz kalmak boğazı savunmasız bırakarak iltihap kapmasına neden olabilir. Benzer şekilde tütün mamulleri kullanmak veya kullanılan ortamda bulunmak da tahrişe neden olarak boğaz iltihabı ile sonuçlanabilir. Özellikle meslekleri gereği çok konuşan kişilerde veya bağırma sonrası boğaz iltihabı söz konusu olabilir.

Çok nadir durumlarda boğaz iltihabı şu hastalıkların belirtisi olabilir:

HIV
Boğaz kanseri
Boğaz İltihabı Nasıl Tedavi Edilir?
Evde Uygulanabilecek Tedaviler
Boğaz iltihabı vakalarının çoğu hafif seyreder. Aşağıdaki uygulamalar boğaz iltihabına iyi gelir:

Bol su ve sıcak içecek tüketin
Tuzlu suyla gargara yapın
Meyan kökü çiğneyin veya suya karıştırarak için
Bal ve adaçayı tüketmek harika sonuçlar verir
Nane veya naneli ürünler tüketin
Karaağaç çayı tüketin
Okaliptüs buhar tedavisi uygulanabilir
Ses tellerinizi dinlendirin
Pastil kullanın
Antibiyotik Tedavisi
Birinci maddede yer alan tedaviler uygulandığı halde kırgınlık hissi devam ediyorsa ve ateş 38 derecenin üzerine çıktı ise doktora başvurulmalıdır. Bu vakalarda antibiyotik almak gerekebilir, önemli olan boğaz iltihabının bakteri kaynaklı olmasıdır. Virüs kaynaklı boğaz iltihaplarında ise ağrı kesiciler gibi hastalık belirtilerini azaltacak ilaçlar kullanılabilir.
 
Geri
Üst