Uzman SühaN
Administrator
Çikolata kisti ultrasonda görülürmü?
çikolata kisti teşhisi,çikolata kisti nası anlaşılır,çikolata kisti usg de görülürmü,çikolata kisti hakkında bilgiler
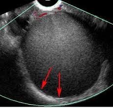
Çikolata kisti ultrasonda görülür mü? Çikolata kisti (endometrioma), daha yoğun olarak adet döneminde ve cinsel ilişki sırasında olmak üzere ya da herhangi bir zamanda karnın alt kısmında ya da kasıkta ağrı oluşumu ile kendini belli eder. Adet döneminde oluşan şiddetli ağrılar basit ağrı kesicilerle giderilemez. Cinsel ilişki sırasındaki ağrı ise daha derinlerde hissedilir. Adet düzensizliği ya da gebe kalamama şikayetiyle gelen hastalara da endometrioma tanısı konulabilir. Bazı durumlarda ise çikolata kisti hiçbir belirti vermez ve rutin kontroller sırasında ortaya çıkabilir.
Bu tür şikayetlerle doktora başvuran hastalar çikolata kisti şüphesi uyandırır. Jinekolojik muayene, ultrasonografik muayene ve kan testleri (tümör belirteci olan Ca 125 ve Ca 19-9 değerleri) sonucunda tanı kolaylıkla konulabilmekte kesin tanı ise patoloji sonuçlarına göre konulmaktadır.
Tanıda transvajinal (vajinal ultrason ya da jinekolojik ultrason) önemli yer tutmaktadır. Vajinal ultrason ile alt karın bölgesindeki organlar ile yumurtalıklar ve rahim (rahmin pozisyonu, büyüklüğü, yapısı, endometrium (rahim içi doku) yapısı, mevcut tümörler, myomlar; yumurtalığın yapısı, burada bulunan tümörler ve kistler) detaylı olarak incelenebilmekte ve gerekli bilgiler elde edilebilmektedir.
Çikolata kisti ultrasonda görülür ve tipik görünümüyle rahatlıkla ayırt edilebilir. Jinekolojik muayene, jinekolojik ultrason ile konulan çikolata kisti tanıları, bu kistlere yapılan biyopsi sonuçlarını % 90 oranında doğrulamaktadır.
Çikolata kisti ultrasonda görülür ve kesin tanısı konulursa kistin boyutuna ve hastanın yaşı, gebelik isteyip istemediğine göre çeşitli şekillerde tedavi edilir. Kesin tedavi ise laparoskopi yöntemi ile çikolata kistlerinin alınmasıdır. Bölgenin kistik yapıdan tamamen arındırılması durumunda çikolata kistinin tekrarlamadığı düşünülmektedir. Ancak çikolata kistinin oluşum mekanizması ve sebebi hakkında kesin bir bilgiye sahip olunmaması, tedavinin kesin bir şekilde yapılmasına da engel olmaktadır.
Bir önceki yazımız olan Çikolata kisti nedir ve neden olur? başlıklı makalemizde çikolata kisti, çikolata kisti ameliyatı ve çikolata kisti aydan biri hakkında bilgiler verilmektedir.
Çikolata kisti ultrasonda görülür mü? Çikolata kisti (endometrioma), daha yoğun olarak adet döneminde ve cinsel ilişki sırasında olmak üzere ya da herhangi bir zamanda karnın alt kısmında ya da kasıkta ağrı oluşumu ile kendini belli eder. Adet döneminde oluşan şiddetli ağrılar basit ağrı kesicilerle giderilemez. Cinsel ilişki sırasındaki ağrı ise daha derinlerde hissedilir. Adet düzensizliği ya da gebe kalamama şikayetiyle gelen hastalara da endometrioma tanısı konulabilir. Bazı durumlarda ise çikolata kisti hiçbir belirti vermez ve rutin kontroller sırasında ortaya çıkabilir.
Bu tür şikayetlerle doktora başvuran hastalar çikolata kisti şüphesi uyandırır. Jinekolojik muayene, ultrasonografik muayene ve kan testleri (tümör belirteci olan Ca 125 ve Ca 19-9 değerleri) sonucunda tanı kolaylıkla konulabilmekte kesin tanı ise patoloji sonuçlarına göre konulmaktadır.
Tanıda transvajinal (vajinal ultrason ya da jinekolojik ultrason) önemli yer tutmaktadır. Vajinal ultrason ile alt karın bölgesindeki organlar ile yumurtalıklar ve rahim (rahmin pozisyonu, büyüklüğü, yapısı, endometrium (rahim içi doku) yapısı, mevcut tümörler, myomlar; yumurtalığın yapısı, burada bulunan tümörler ve kistler) detaylı olarak incelenebilmekte ve gerekli bilgiler elde edilebilmektedir.
Çikolata kisti ultrasonda görülür ve tipik görünümüyle rahatlıkla ayırt edilebilir. Jinekolojik muayene, jinekolojik ultrason ile konulan çikolata kisti tanıları, bu kistlere yapılan biyopsi sonuçlarını % 90 oranında doğrulamaktadır.
Çikolata kisti ultrasonda görülür ve kesin tanısı konulursa kistin boyutuna ve hastanın yaşı, gebelik isteyip istemediğine göre çeşitli şekillerde tedavi edilir. Kesin tedavi ise laparoskopi yöntemi ile çikolata kistlerinin alınmasıdır. Bölgenin kistik yapıdan tamamen arındırılması durumunda çikolata kistinin tekrarlamadığı düşünülmektedir. Ancak çikolata kistinin oluşum mekanizması ve sebebi hakkında kesin bir bilgiye sahip olunmaması, tedavinin kesin bir şekilde yapılmasına da engel olmaktadır.
Bir önceki yazımız olan Çikolata kisti nedir ve neden olur? başlıklı makalemizde çikolata kisti, çikolata kisti ameliyatı ve çikolata kisti aydan biri hakkında bilgiler verilmektedir.