Uzman SühaN
Administrator
Fetal emar çektiren varmı?
Anne adayları, bebeği ve kendisi için sorunsuz bir hamilelik istemektedir. Bu yüzden Fetal MR emar yaparak ileride oluşacak sorunlar veya oluşmuş olan sorunları görmek isterler.
Zararsız ve teknolojik olarak en iyi, en çok kullanılan yöntemlerdendir. Anne ve bebeğin sağlığını gözlem altında tutan bir inceleme şeklidir. Bu cihaz mıktanıstan oluşur. Kesinlikle X ışınları içermez.
Annenin bir sorunu var ise MR ile aydınlanır. Bazı tanılarda, ultrasonografi ile çözülemeyen sorunlarda Fetal Mr sorunu bulur. Bu test anne ve bebek için aydınlatıcıdır.
Annede karın ağrısına sebep olan rahatsızlıkları, böbrek taşı, kistler, kanama gibi bazı hastalıkların görünmesine yardımcı olur. Hamilelikte myom ve plasental patolojilerinde Fetal Mr devreye girer. Beyin tümörü olasılığı varsa bu belirlenir. Kemikler içini dahi MR de görebilirsiniz.
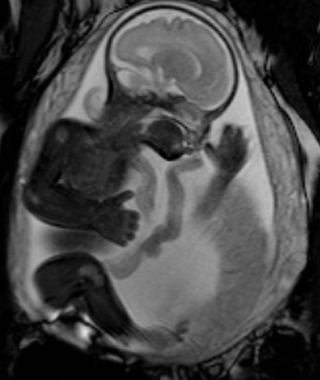
Bebekte Fetal Mr, en çok fetüsün sinir sistemi rahatsızlıklarında kullanılmaktadır.
Bebeğin omurga, beyin kıvrımı, beyin boşluklarında genişleme, beyin gelişim fonksiyonları, kalıtsal beyin rahatsızlıkları patolojilerde Fetal Mr ile görüntüleme en iyi sonuçtur.
Ultrasonografi bebeğin yatış pozisyonunu eksi şekilde etkiler. Ama Fetal Mr de hiçbir sorun oluşmaz. Ayrıca bebeğin akciğer, karın boşluğu, kas-iskelet sisteminide incelemektedir.
Akciğer hacim ve gelişimlerinin Fetal Mr kullanılmaktadır. Kız bebeklerde yumurtalığa ait sorunlar varsa onlarda görülebilir. Birçok sorunu görüntülemede Fetal Mr büyük bir yardımcıdır.
Fetal Mr hamileliğin ilk 3.ayına kadar uygulamaz. 3.aydan sonra ise fetuslar da sorunlar oluşabildiği için bu test yapılabilir.
Her anne Fetal Mr yaptırabilir. Hiçbir sakınca yoktur. Anneye ilaç verilmesi gerekmiyor. MR cihazında annenin başı içeriye girmez. Sırt üstü yatamıyorsanız yan yatırarak ta görüntüleme yapılabilir.
Genellikle 20-30 dakika arasında görüntüleme sona erer. Bebek çok hareketli olursa, ara vermek zorunda kalabiliyor, o zaman daha uzun sürebilir.
Her hamilenin Fetal MR yaptırıma gerekliliği yoktur. Doktorlar, bir sorun teşkil edebilecek bir durum görülürse o zaman Fetal MR yapılır.
Annelerin endişelenmelerine gerek yoktur. İnceleme yapılırken asla bebeğiniz radyasyon almaz.
Zararsız ve teknolojik olarak en iyi, en çok kullanılan yöntemlerdendir. Anne ve bebeğin sağlığını gözlem altında tutan bir inceleme şeklidir. Bu cihaz mıktanıstan oluşur. Kesinlikle X ışınları içermez.
Annenin bir sorunu var ise MR ile aydınlanır. Bazı tanılarda, ultrasonografi ile çözülemeyen sorunlarda Fetal Mr sorunu bulur. Bu test anne ve bebek için aydınlatıcıdır.
Annede karın ağrısına sebep olan rahatsızlıkları, böbrek taşı, kistler, kanama gibi bazı hastalıkların görünmesine yardımcı olur. Hamilelikte myom ve plasental patolojilerinde Fetal Mr devreye girer. Beyin tümörü olasılığı varsa bu belirlenir. Kemikler içini dahi MR de görebilirsiniz.
Bebekte Fetal Mr, en çok fetüsün sinir sistemi rahatsızlıklarında kullanılmaktadır.
Bebeğin omurga, beyin kıvrımı, beyin boşluklarında genişleme, beyin gelişim fonksiyonları, kalıtsal beyin rahatsızlıkları patolojilerde Fetal Mr ile görüntüleme en iyi sonuçtur.
Ultrasonografi bebeğin yatış pozisyonunu eksi şekilde etkiler. Ama Fetal Mr de hiçbir sorun oluşmaz. Ayrıca bebeğin akciğer, karın boşluğu, kas-iskelet sisteminide incelemektedir.
Akciğer hacim ve gelişimlerinin Fetal Mr kullanılmaktadır. Kız bebeklerde yumurtalığa ait sorunlar varsa onlarda görülebilir. Birçok sorunu görüntülemede Fetal Mr büyük bir yardımcıdır.
Fetal Mr hamileliğin ilk 3.ayına kadar uygulamaz. 3.aydan sonra ise fetuslar da sorunlar oluşabildiği için bu test yapılabilir.
Her anne Fetal Mr yaptırabilir. Hiçbir sakınca yoktur. Anneye ilaç verilmesi gerekmiyor. MR cihazında annenin başı içeriye girmez. Sırt üstü yatamıyorsanız yan yatırarak ta görüntüleme yapılabilir.
Genellikle 20-30 dakika arasında görüntüleme sona erer. Bebek çok hareketli olursa, ara vermek zorunda kalabiliyor, o zaman daha uzun sürebilir.
Her hamilenin Fetal MR yaptırıma gerekliliği yoktur. Doktorlar, bir sorun teşkil edebilecek bir durum görülürse o zaman Fetal MR yapılır.
Annelerin endişelenmelerine gerek yoktur. İnceleme yapılırken asla bebeğiniz radyasyon almaz.