Uzman SühaN
Administrator
Göz Anjiyosu Neden Yapılır?
Genelde diyabet hastalarında çok sık rastlanır. Diyabet vücutta glikoz metabolizmasının bozulması sonucu ortaya çıkan bir hastalık tablosudur. Glikozu vücut tarafından kullanılabilir hale getirmeye yarayan insülin hormonu, pankreasta bulunan beta hücrelerindeki tahribat sebebiyle daha az salgılamaya başlar.
İnsülinin hücrelerdeki kullanımı bozulduğunda, kanda bulunan glikoz hücrelerce kullanılmayacak duruma gelir. Hücreler glikoz emilimini yapamaz ve kanda glikoz seviyesi yükselir, bu durumda vücuttaki damarlarda bozulmalar başlar ve bundan en fazla, başta göz olmak kaydıyla böbrekler, kalp ve damar olumsuz yönde etkilenerek hasarlar meydana gelir.
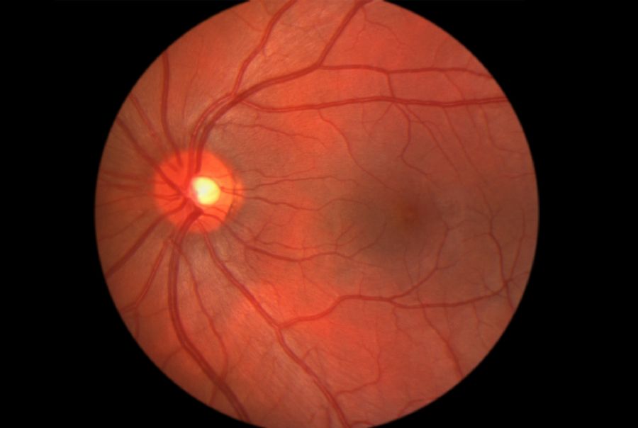
Göz Anjiyosu Nedir?
Hastalarda küçük optik sinir kanama, serum sızıntıları ve göz anjiyografisi şiddetinin, ne kadar nüfuz ettiğini görmek için muhakkak yapılması gereken uygulamalardan biridir. Genelde diyabet hastalarında çok sık rastlanır. Diyabet vücutta glikoz metabolizmasının bozulması sonucu ortaya çıkan bir hastalık tablosudur. Glikozu vücut tarafından kullanılabilir hale getirmeye yarayan insülin hormonu, pankreasta bulunan beta hücrelerindeki tahribat sebebiyle daha az salgılamaya başlar. İnsülinin hücrelerdeki kullanımı bozulduğunda, kanda bulunan glikoz hücrelerce kullanılmayacak duruma gelir. Hücreler glikoz emilimini yapamaz ve kanda glikoz seviyesi yükselir, bu durumda vücuttaki damarlarda bozulmalar başlar ve bundan en fazla, başta göz olmak kaydıyla böbrekler, kalp ve damar olumsuz yönde etkilenerek hasarlar meydana gelir.
Göz Anjiyosu Nasıl Yapılır?
Gözün arka odasında yer alan damarları, ( nadiren iris içinde kullanılır) özel boya ile boyayarak, varsa çıplak gözle görünmeyen sorunları görmek, tanı koyabilmek, tedavi kararı verebilmek ve uygulanan tedavinin etkisini izlemek için kullanılır. İlk önce göz damlasıyla göz bebekleri iyice büyütülür daha sonra koldaki toplardamara küçük bir iğne vasıtasıyla boya maddesi verilir. İlaç kan dolaşımına katılıp göze geldiğinde, göz damarlarını dahada belirginleştirerek daha net görünür kılar.Bu esnada göz muayenelerinde kullanılan mikroskopla gözün içinin fotoğrafları çekilir. Çekilen resimlerden sonraysa hastaya teşhis konur. Bu işlem en fazla yaklaşık 30 dakika sürer ve göze herhangi bir zararı olmaz.
Göz Anjiyosu Neden Yapılır?
Çıplak gözle görülemeyen damarları görünür yapmak için.
Göz sinirinde bir hastalık olup olmadığını anlamak için.
Göz içerisinde bir kitle varsa onun yapısını ne kadar olduğunu anlamak için.
Göz damarlarında kaçak olup olmadığını anlamak için.
Göz damarlarında çıplak gözle görülemeyen damarlarda kanama olup olmadığına bakmak için.
Göz damarlarında tıkanıklık olup olmadığına bakmak için.
Göz iltihabı varsa durumu anlamak ve müdahale etmek için.
Lazer tedavisine gerek olup olmadığını anlamak için.
Lazer tedavisi yapılacaksa hangi bölgelere yapılacağına karar vermek için.
Lazer veya uygulanacak başka tedavinin etkinliğini teyit etmek için.
İnsülinin hücrelerdeki kullanımı bozulduğunda, kanda bulunan glikoz hücrelerce kullanılmayacak duruma gelir. Hücreler glikoz emilimini yapamaz ve kanda glikoz seviyesi yükselir, bu durumda vücuttaki damarlarda bozulmalar başlar ve bundan en fazla, başta göz olmak kaydıyla böbrekler, kalp ve damar olumsuz yönde etkilenerek hasarlar meydana gelir.
Göz Anjiyosu Nedir?
Hastalarda küçük optik sinir kanama, serum sızıntıları ve göz anjiyografisi şiddetinin, ne kadar nüfuz ettiğini görmek için muhakkak yapılması gereken uygulamalardan biridir. Genelde diyabet hastalarında çok sık rastlanır. Diyabet vücutta glikoz metabolizmasının bozulması sonucu ortaya çıkan bir hastalık tablosudur. Glikozu vücut tarafından kullanılabilir hale getirmeye yarayan insülin hormonu, pankreasta bulunan beta hücrelerindeki tahribat sebebiyle daha az salgılamaya başlar. İnsülinin hücrelerdeki kullanımı bozulduğunda, kanda bulunan glikoz hücrelerce kullanılmayacak duruma gelir. Hücreler glikoz emilimini yapamaz ve kanda glikoz seviyesi yükselir, bu durumda vücuttaki damarlarda bozulmalar başlar ve bundan en fazla, başta göz olmak kaydıyla böbrekler, kalp ve damar olumsuz yönde etkilenerek hasarlar meydana gelir.
Göz Anjiyosu Nasıl Yapılır?
Gözün arka odasında yer alan damarları, ( nadiren iris içinde kullanılır) özel boya ile boyayarak, varsa çıplak gözle görünmeyen sorunları görmek, tanı koyabilmek, tedavi kararı verebilmek ve uygulanan tedavinin etkisini izlemek için kullanılır. İlk önce göz damlasıyla göz bebekleri iyice büyütülür daha sonra koldaki toplardamara küçük bir iğne vasıtasıyla boya maddesi verilir. İlaç kan dolaşımına katılıp göze geldiğinde, göz damarlarını dahada belirginleştirerek daha net görünür kılar.Bu esnada göz muayenelerinde kullanılan mikroskopla gözün içinin fotoğrafları çekilir. Çekilen resimlerden sonraysa hastaya teşhis konur. Bu işlem en fazla yaklaşık 30 dakika sürer ve göze herhangi bir zararı olmaz.
Göz Anjiyosu Neden Yapılır?
Çıplak gözle görülemeyen damarları görünür yapmak için.
Göz sinirinde bir hastalık olup olmadığını anlamak için.
Göz içerisinde bir kitle varsa onun yapısını ne kadar olduğunu anlamak için.
Göz damarlarında kaçak olup olmadığını anlamak için.
Göz damarlarında çıplak gözle görülemeyen damarlarda kanama olup olmadığına bakmak için.
Göz damarlarında tıkanıklık olup olmadığına bakmak için.
Göz iltihabı varsa durumu anlamak ve müdahale etmek için.
Lazer tedavisine gerek olup olmadığını anlamak için.
Lazer tedavisi yapılacaksa hangi bölgelere yapılacağına karar vermek için.
Lazer veya uygulanacak başka tedavinin etkinliğini teyit etmek için.