Uzman SühaN
Administrator
Ultrason ile Fetal MR arasındaki fark nedir?
fetal mr nedir,fetal mr ne için çekilir,fetal emar ve usg arasındaki fark,fetal emarın zararı varmı,fetal mr hakkında bilgiler
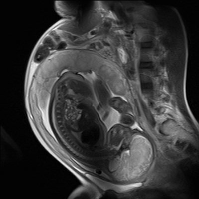
Acıbadem Kozyatağı Hastanesi Radyoloji Uzmanı Dr. Ümit Özcan: Fetal MR, gebelikte yapılan ultrasonografi incelemesinde annede ya da bebekte herhangi bir patolojik bulgu saptandığında, daha ileri ve ayrıntılı bir inceleme yapmak amacıyla kullanılmaktadır. MR incelemesi bebek için yapılabildiği gibi, gebelik döneminde anneye ait problemleri aydınlatmak için de güvenle kullanılabilir.
Anneye ait problemler nelerdir?
Uzm. Dr. Ümit Özcan: Anneye ait problemlerde MR, ultrasonografi ile tanının kesinleştirilmediği durumlarda problem çözücü olarak devreye girer. Bu sorunlar arasında annede karın ağrısına neden olan akut apandisit, böbrek taşları, yumurtalık kistleri, kanamalar gibi hastalıklar sayılabilir. Daha önce sezaryen geçiren ve bu nedenle ikinci gebeliğinde problemleri olan hastalar, gebelikte sorun yaratabilen myomlar ya da plasental patolojilerde de tanı amacıyla MR kullanılmaktadır.
Bebeğe bağlı sebepler nelerdir?
Uzm. Dr. Özcan: Bebeğe bağlı sebepler arasında Fetal MR’ın en sık kullanım alanı fetüsün santral sinir sistemi hastalıklarıdır. gebelik takibi sırasında bebekte saptanan beyin ya da omurga problemleri ultrasonografi ile sınırlı olarak değerlendirilebilir. Beynin ayrıntılı anatomik yapısı, beyin kıvrım ve katmanlarının gelişimi, omurganın gelişimsel bozuklukları Fetal MR ile ultrasonografiden daha üstün olarak gösterilmektedir. Ventrikülomegali adını verdiğimiz beynin boşluklarında genişleme, anne karnında gelişen beyin enfeksiyonları, kalıtımsal beyin hastalıkları, tümoral kitleler gibi patolojilerde Fetal MR görüntüleme ultrasonografiye ek bilgi sağladığı gibi klinik yaklaşımı da değiştirebilmektedir. İkiz gebeliklerdeki problemlerde, bebek beyninin kanlanması ve beyin parankiminde kanama gibi bazı sorunları tespit etmek konusunda Fetal MR ultrasonografinin gösteremediği değişiklikleri gösterebilir. Ultrasonografi’de bebeğin yatış pozisyonu ya da anne karnındaki su miktarı tanıyı olumsuz yönde etkileyebilir. Fetal MR’da bunlar problem oluşturmaz; bebek hangi pozisyonda olursa olsun, çok rahat görüntü alınabilir. Anne karnında ya da doğumdan hemen sonra cerrahi müdahale gereken fetuslarda MR planlama için kullanılabilir. Fetal MR sadece santral sinir sistemi hastalıkları için değil aynı zamanda fetüsün akciğer, karın boşluğu, kas-iskelet sistemi gibi yapılarını değerlendirmek için de kullanılmaktadır. Bebeklerin diyaframında bir problem olduğunda, örneğin karnındaki organların akciğere doğru yer değiştirmesi gibi durumlarda, akciğer kitlelerinde, akciğer hacim ve gelişimlerinin değerlendirilmesinde Fetal MR kullanılmaktadır. Bebeğin karnındaki yapıları değerlendirirken idrar yollarını, karaciğerini, safra kesesi gelişimini, kız bebeklerde yumurtalığa ait problemleri ya da oluşabilecek tümörleri yine Fetal MR’la ayırmak mümkün. Sadece bebeğe ait olan patolojileri değil, bebeğin eşi diye bilinen plasentaya ait patolojilerde de MR kullanabiliyoruz.
Fetal MR hamileliğin hangi döneminde uygulanabilir?
Uzm. Dr. Özcan: Gebeliğin ilk üç ayında Fetal MR henüz yeterince veri olmadığı için kullanılmıyor. Zaten hastalarımızın çoğunluğunu, 24 haftanın üzerindeki fetuslar vakalar oluşturuyor. İleri gebelik haftasında yapılan Fetal MR inceleme doğumun yapılacağı hastanenin seçimini dahi etkileyebilir. Doğum sonrası acil müdahale gerektiren durumlar için anne, bu konuda özelleşmiş donanımlı bir hastaneye yönlendirilebilir.
Fetal MR sırasında anneye herhangi bir ilaç veriliyor mu?
Uzm. Dr. Özcan: Fetal MR uygulamaları için anneye ya da bebeğe hiçbir şekilde ilaç vermemiz gerekmiyor. Hastanemizde bulunan MR cihazında inceleme yaparken annenin başı cihazın içine girmiyor ve MR’a girmekten korkan hastalarımız bile rahatça Fetal MR incelemesi yaptırabiliyorlar. Eğer anne sırt üstü yatamıyorsa yan yatırarak da çekim yapılabiliyor. Fetal MR toplam 20-30 dakika kadar sürüyor.
Ultrason ile Fetal MR arasındaki fark nedir?
Uzm. Dr. Özcan: Ultrason ses dalgası kullanarak görüntü elde eder, Fetal MR ise manyetik alanda görüntü elde eder. Fetal MR hiçbir şekilde radyasyon içermez. Eskiden anne ve fetus sağlığı için ultrasonografi kullanabiliyorduk ve çok gerektiği zamanlarda röntgen çekmek zorunda kalınıyordu. Anne adaylarının en çok korktuğu şey inceleme yapılırken bebeğin radyasyon almasıdır ancak Fetal MR’da incelemesi hiçbir şekilde radyasyon içermez.
Her hamile Fetal MR’a girmeli mi?
Uzm. Dr. Özcan: Fetal MR bir tarama metodu değildir, dolayısıyla bütün hamilelerin yaptırmasına gerek yoktur. Sadece doktorların değerlendirmesi sonucunda gerek görülen fetuslar MR’a yönlendirilirler. Ultrasonografinin sonucunda yeterli bilgi edinilemeyen hastalıklar, anomali şüphesi olan fetuslar, aile öyküsü olan ancak tanı konamayan olgular MR’la değerlendirilmelidir.
MR’a girmeden önce annenin herhangi bir hazırlık yapması gerekiyor mu?
Uzm. Dr. Özcan: Gelmeden önce hastanın herhangi bir hazırlık yapmasına gerek yoktur. Anne adayları MR istemini yapan hekimlerinden sonra direkt Fetal MR incelemesine gelebilir.
Acıbadem Kozyatağı Hastanesi Radyoloji Uzmanı Dr. Ümit Özcan: Fetal MR, gebelikte yapılan ultrasonografi incelemesinde annede ya da bebekte herhangi bir patolojik bulgu saptandığında, daha ileri ve ayrıntılı bir inceleme yapmak amacıyla kullanılmaktadır. MR incelemesi bebek için yapılabildiği gibi, gebelik döneminde anneye ait problemleri aydınlatmak için de güvenle kullanılabilir.
Anneye ait problemler nelerdir?
Uzm. Dr. Ümit Özcan: Anneye ait problemlerde MR, ultrasonografi ile tanının kesinleştirilmediği durumlarda problem çözücü olarak devreye girer. Bu sorunlar arasında annede karın ağrısına neden olan akut apandisit, böbrek taşları, yumurtalık kistleri, kanamalar gibi hastalıklar sayılabilir. Daha önce sezaryen geçiren ve bu nedenle ikinci gebeliğinde problemleri olan hastalar, gebelikte sorun yaratabilen myomlar ya da plasental patolojilerde de tanı amacıyla MR kullanılmaktadır.
Bebeğe bağlı sebepler nelerdir?
Uzm. Dr. Özcan: Bebeğe bağlı sebepler arasında Fetal MR’ın en sık kullanım alanı fetüsün santral sinir sistemi hastalıklarıdır. gebelik takibi sırasında bebekte saptanan beyin ya da omurga problemleri ultrasonografi ile sınırlı olarak değerlendirilebilir. Beynin ayrıntılı anatomik yapısı, beyin kıvrım ve katmanlarının gelişimi, omurganın gelişimsel bozuklukları Fetal MR ile ultrasonografiden daha üstün olarak gösterilmektedir. Ventrikülomegali adını verdiğimiz beynin boşluklarında genişleme, anne karnında gelişen beyin enfeksiyonları, kalıtımsal beyin hastalıkları, tümoral kitleler gibi patolojilerde Fetal MR görüntüleme ultrasonografiye ek bilgi sağladığı gibi klinik yaklaşımı da değiştirebilmektedir. İkiz gebeliklerdeki problemlerde, bebek beyninin kanlanması ve beyin parankiminde kanama gibi bazı sorunları tespit etmek konusunda Fetal MR ultrasonografinin gösteremediği değişiklikleri gösterebilir. Ultrasonografi’de bebeğin yatış pozisyonu ya da anne karnındaki su miktarı tanıyı olumsuz yönde etkileyebilir. Fetal MR’da bunlar problem oluşturmaz; bebek hangi pozisyonda olursa olsun, çok rahat görüntü alınabilir. Anne karnında ya da doğumdan hemen sonra cerrahi müdahale gereken fetuslarda MR planlama için kullanılabilir. Fetal MR sadece santral sinir sistemi hastalıkları için değil aynı zamanda fetüsün akciğer, karın boşluğu, kas-iskelet sistemi gibi yapılarını değerlendirmek için de kullanılmaktadır. Bebeklerin diyaframında bir problem olduğunda, örneğin karnındaki organların akciğere doğru yer değiştirmesi gibi durumlarda, akciğer kitlelerinde, akciğer hacim ve gelişimlerinin değerlendirilmesinde Fetal MR kullanılmaktadır. Bebeğin karnındaki yapıları değerlendirirken idrar yollarını, karaciğerini, safra kesesi gelişimini, kız bebeklerde yumurtalığa ait problemleri ya da oluşabilecek tümörleri yine Fetal MR’la ayırmak mümkün. Sadece bebeğe ait olan patolojileri değil, bebeğin eşi diye bilinen plasentaya ait patolojilerde de MR kullanabiliyoruz.
Fetal MR hamileliğin hangi döneminde uygulanabilir?
Uzm. Dr. Özcan: Gebeliğin ilk üç ayında Fetal MR henüz yeterince veri olmadığı için kullanılmıyor. Zaten hastalarımızın çoğunluğunu, 24 haftanın üzerindeki fetuslar vakalar oluşturuyor. İleri gebelik haftasında yapılan Fetal MR inceleme doğumun yapılacağı hastanenin seçimini dahi etkileyebilir. Doğum sonrası acil müdahale gerektiren durumlar için anne, bu konuda özelleşmiş donanımlı bir hastaneye yönlendirilebilir.
Fetal MR sırasında anneye herhangi bir ilaç veriliyor mu?
Uzm. Dr. Özcan: Fetal MR uygulamaları için anneye ya da bebeğe hiçbir şekilde ilaç vermemiz gerekmiyor. Hastanemizde bulunan MR cihazında inceleme yaparken annenin başı cihazın içine girmiyor ve MR’a girmekten korkan hastalarımız bile rahatça Fetal MR incelemesi yaptırabiliyorlar. Eğer anne sırt üstü yatamıyorsa yan yatırarak da çekim yapılabiliyor. Fetal MR toplam 20-30 dakika kadar sürüyor.
Ultrason ile Fetal MR arasındaki fark nedir?
Uzm. Dr. Özcan: Ultrason ses dalgası kullanarak görüntü elde eder, Fetal MR ise manyetik alanda görüntü elde eder. Fetal MR hiçbir şekilde radyasyon içermez. Eskiden anne ve fetus sağlığı için ultrasonografi kullanabiliyorduk ve çok gerektiği zamanlarda röntgen çekmek zorunda kalınıyordu. Anne adaylarının en çok korktuğu şey inceleme yapılırken bebeğin radyasyon almasıdır ancak Fetal MR’da incelemesi hiçbir şekilde radyasyon içermez.
Her hamile Fetal MR’a girmeli mi?
Uzm. Dr. Özcan: Fetal MR bir tarama metodu değildir, dolayısıyla bütün hamilelerin yaptırmasına gerek yoktur. Sadece doktorların değerlendirmesi sonucunda gerek görülen fetuslar MR’a yönlendirilirler. Ultrasonografinin sonucunda yeterli bilgi edinilemeyen hastalıklar, anomali şüphesi olan fetuslar, aile öyküsü olan ancak tanı konamayan olgular MR’la değerlendirilmelidir.
MR’a girmeden önce annenin herhangi bir hazırlık yapması gerekiyor mu?
Uzm. Dr. Özcan: Gelmeden önce hastanın herhangi bir hazırlık yapmasına gerek yoktur. Anne adayları MR istemini yapan hekimlerinden sonra direkt Fetal MR incelemesine gelebilir.