Uzman SühaN
Administrator
Beyin ölümü ne demektir ?
Beyin ölümü, bir çoğumuz bu tanımla karşılaşmış fakat genel anlamda neyi ifade ettiğini bilmiyoruz. Beyin ölümü, ölümün yasal bir tanımlamasıdır.Tüm nörolojik fonksiyonların yokluğuna dayalı ölüm olarak tanımlanır. Beyin ölümünün gerçekleşmesi durumunda tüm yaşamsal fonksiyonlar durur . Beyin ölümü kalıcıdır.. Beyin ölümü gerçekleşmiş hastanın son olarak tüm testleri yapılıyor. Testler, bireyin beyin refleksleri olmadığını ve kendi kendine nefes alamayacağını gösteren klinik bir inceleme içerir. Bazı durumlarda, başka testler gerekebilir.
Beyin ölümü, kritik hastalığı olan birinin yaşam desteğine yerleştirildikten sonra ölmesiyle oluşur.Bazı durumlarda, beyin ölümü olan bir kişi organ bağışı için bir aday olabilir.Bir kişinin beyin ölümü gerçekleştiğinde ölümü teyit edilir.Beyin ölümü,beyin işlevinin geri dönüşü olmayan kaybı ve hayati organların bağışının en sık gerçekleştiği durumdur.Beyin ölümü, kaza sonucu yaralanmalar veya hastalıklardan kaynaklanabilir. Yüksek tansiyon da beynin kanamasına neden olabilir ve ölümle sonuçlanabilir. Beyin enfeksiyonu, beyin tümörü veya travmatik yaralanma beynin şişmesine ve ölüme neden olabilir.
Beyin ölümü nasıl oluşur?
Beyindeki kan ve oksijen kaynağı kesildiğinde beyin ölümü meydana gelebilir. Bunun nedeni aşağıdakiler olabilir:
Kalp durması : kalp atışı durduğunda ve beyin oksijenden yoksun olduğunda
Kalp krizi : kalp kan dolaşımı aniden engellendiğinde ortaya çıkan ciddi acil durum
İnme : Beyindeki kan akışı kesildiğinde ortaya çıkan ciddi acil durum
Kan pıhtısı : vücudunuzdaki kan akışını engelleyen veya bloke eden bir kan damarındaki tıkanıklık
Beyin ölümü şu nedenlerle ortaya çıkabilir:
Şiddetli kafa travması
Beyin kanaması
Ensefalit gibi enfeksiyonlar
Bir beyin tümörü
Beyin ölümü gerçekleşen birinin kalbi neden hala atıyor ?
Kalp, otonom sinir sisteminin bir parçasıdır ve bu nedenle, oksijen olduğu sürece beyinden bağımsız olarak atma kabiliyetine sahiptir. Solunum cihazı ile desteklenen hastanın , kalp, böbrekleri veya karaciğer gibi diğer organları kısa süre çalışabilir ancak beyin ölümü ilan edildiğinde kişinin öldüğü anlamına gelir. Bu yapay yardım olmadan kalp atmaz.
Doktor beyin ölümünü nasıl belirler?
Hastayı muayene eden doktorlar herhangi bir beyin aktivitesinin olup olmadığını belirlemek için bir dizi test yapacaklardır. Bütün beyin faaliyeti yoksa, hasta ölmüştür.
Beyin ölümü gerçekleşen bir hastanın yasal süresi nedir?
Ölümün yasal süresi, doktorların tüm beyin faaliyetlerinin sona erdiğini belirledikleri tarih ve saattir. Bu, hastanın ölüm belgesinde not edilen zamandır.Beyin ölümü tanısı konduktan sonra, bir kişi yasal olarak ölü olarak telaffuz edilir. Ölüm belgesinde görünmesi gereken zaman budur
Beyin ölümü komada demekki yoksa ölmüş demekmi?
Beyin ölümü ölüm demektir.Beyin ölümü komaya benzemiyor
Beyin ölümü diğer bilinç durumlarından önemli derecede farklıdır. Örneğin, komada olan hasta derin uykudadır. Bununla birlikte, kişi canlıdır ve iyileşme mümkündür. Beyin ölümü kişinin öldüğü anlamına gelir.Yaşam destek makineleri kişinin solunum ve kalp atış hızını koruduğu için dokunulduğunda sıcaklık vardır.Bu, kişinin hala hayatta olduğu yanılsamasını verir. Tıbbi personel üyelerinin , beyin ölümünün nihai olduğunu ve kişinin öldüğünü ve tekrar bilinç kazanma şansının bulunmadığını açıklaması gerekir.
Beyin ölümü ve organ bağışı
Bazı durumlarda, beyin ölümü olan bir kişi organ bağışı için bir aday olabilir. Kişi kayıtlı bir organ bağışçısıysa Aileleri gerekli girişimi yapar. Organlar ameliyatla alınır daha sonra ceset Aileye teslim edilir.
Beyin ölümü gerçekleştikten sonra kişinin organlarının transplantasyonlarda kullanılması mümkündür; bu da genellikle başkalarının yaşamlarını kurtarabilir.
Ölen kişinin isteklerini açıkça ortaya koymadığı durumlarda, organlarını bağışta bulunup bulunmadıklarına karar vermek, akrabalar için zor bir karar olabilir. Hastane personeli bu zorlukların farkındadır ve konunun hassas ve düşünceli bir şekilde ele alınmasını sağlamaya çalışacaktır.
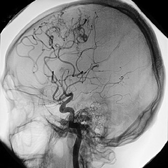
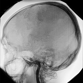
Beyin ölümünün teşhisi
Elektriksel aktivitenin eksikliği beyin ölümünün teşhisini destekler. Beynin kan akışına bakan testler de yapılabilir.
Beyin ölümü, kritik hastalığı olan birinin yaşam desteğine yerleştirildikten sonra ölmesiyle oluşur.Bazı durumlarda, beyin ölümü olan bir kişi organ bağışı için bir aday olabilir.Bir kişinin beyin ölümü gerçekleştiğinde ölümü teyit edilir.Beyin ölümü,beyin işlevinin geri dönüşü olmayan kaybı ve hayati organların bağışının en sık gerçekleştiği durumdur.Beyin ölümü, kaza sonucu yaralanmalar veya hastalıklardan kaynaklanabilir. Yüksek tansiyon da beynin kanamasına neden olabilir ve ölümle sonuçlanabilir. Beyin enfeksiyonu, beyin tümörü veya travmatik yaralanma beynin şişmesine ve ölüme neden olabilir.
Beyin ölümü nasıl oluşur?
Beyindeki kan ve oksijen kaynağı kesildiğinde beyin ölümü meydana gelebilir. Bunun nedeni aşağıdakiler olabilir:
Kalp durması : kalp atışı durduğunda ve beyin oksijenden yoksun olduğunda
Kalp krizi : kalp kan dolaşımı aniden engellendiğinde ortaya çıkan ciddi acil durum
İnme : Beyindeki kan akışı kesildiğinde ortaya çıkan ciddi acil durum
Kan pıhtısı : vücudunuzdaki kan akışını engelleyen veya bloke eden bir kan damarındaki tıkanıklık
Beyin ölümü şu nedenlerle ortaya çıkabilir:
Şiddetli kafa travması
Beyin kanaması
Ensefalit gibi enfeksiyonlar
Bir beyin tümörü
Beyin ölümü gerçekleşen birinin kalbi neden hala atıyor ?
Kalp, otonom sinir sisteminin bir parçasıdır ve bu nedenle, oksijen olduğu sürece beyinden bağımsız olarak atma kabiliyetine sahiptir. Solunum cihazı ile desteklenen hastanın , kalp, böbrekleri veya karaciğer gibi diğer organları kısa süre çalışabilir ancak beyin ölümü ilan edildiğinde kişinin öldüğü anlamına gelir. Bu yapay yardım olmadan kalp atmaz.
Doktor beyin ölümünü nasıl belirler?
Hastayı muayene eden doktorlar herhangi bir beyin aktivitesinin olup olmadığını belirlemek için bir dizi test yapacaklardır. Bütün beyin faaliyeti yoksa, hasta ölmüştür.
Beyin ölümü gerçekleşen bir hastanın yasal süresi nedir?
Ölümün yasal süresi, doktorların tüm beyin faaliyetlerinin sona erdiğini belirledikleri tarih ve saattir. Bu, hastanın ölüm belgesinde not edilen zamandır.Beyin ölümü tanısı konduktan sonra, bir kişi yasal olarak ölü olarak telaffuz edilir. Ölüm belgesinde görünmesi gereken zaman budur
Beyin ölümü komada demekki yoksa ölmüş demekmi?
Beyin ölümü ölüm demektir.Beyin ölümü komaya benzemiyor
Beyin ölümü diğer bilinç durumlarından önemli derecede farklıdır. Örneğin, komada olan hasta derin uykudadır. Bununla birlikte, kişi canlıdır ve iyileşme mümkündür. Beyin ölümü kişinin öldüğü anlamına gelir.Yaşam destek makineleri kişinin solunum ve kalp atış hızını koruduğu için dokunulduğunda sıcaklık vardır.Bu, kişinin hala hayatta olduğu yanılsamasını verir. Tıbbi personel üyelerinin , beyin ölümünün nihai olduğunu ve kişinin öldüğünü ve tekrar bilinç kazanma şansının bulunmadığını açıklaması gerekir.
Beyin ölümü ve organ bağışı
Bazı durumlarda, beyin ölümü olan bir kişi organ bağışı için bir aday olabilir. Kişi kayıtlı bir organ bağışçısıysa Aileleri gerekli girişimi yapar. Organlar ameliyatla alınır daha sonra ceset Aileye teslim edilir.
Beyin ölümü gerçekleştikten sonra kişinin organlarının transplantasyonlarda kullanılması mümkündür; bu da genellikle başkalarının yaşamlarını kurtarabilir.
Ölen kişinin isteklerini açıkça ortaya koymadığı durumlarda, organlarını bağışta bulunup bulunmadıklarına karar vermek, akrabalar için zor bir karar olabilir. Hastane personeli bu zorlukların farkındadır ve konunun hassas ve düşünceli bir şekilde ele alınmasını sağlamaya çalışacaktır.
Beyin ölümünün teşhisi
Elektriksel aktivitenin eksikliği beyin ölümünün teşhisini destekler. Beynin kan akışına bakan testler de yapılabilir.