Uzman SühaN
Administrator
Diş eti ağrısı neden olur?
Diş etindeki ağrı yaralanma, viral enfeksiyonlar, duygusal stres, hormonal değişimler, bağışıklık sisteminin zayıflaması ya da beslenme yetersizliği nedeni ile ortaya çıkan diş etleri üzerindeki pamukçuk denilen rahatsızlık nedeni ile ortaya çıkar.
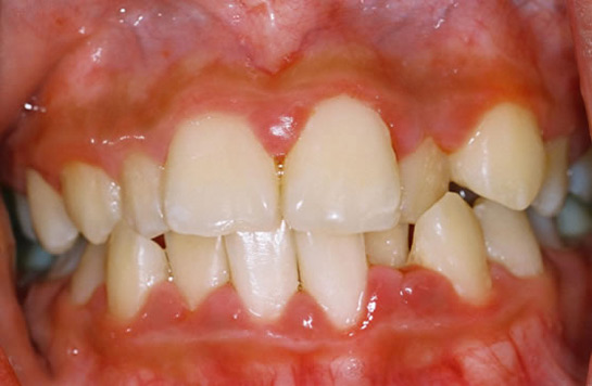
Bu yaygın nedeni müteakip farklı kaynaklar da diş etlerinde ağrıya neden olabilir. Gingivit ve periodontitis gibi diş etlerindeki inflamasyon diş etlerindeki ağrının yanı sıra kanama da meydana getirebilir. Diş eti dokularında ödem denilen aşırı sıvı birikimi de diş etlerinde ağrının yanı sıra şişme ve hassasiyete yol açabilir.
Daha az yaygın olarak da vitamin eksiklikleri ve Behçet sendromu da buna açabilir. Behçet hastalığında vücuttaki kan damarları boyunca kronik inflamasyon vardır ve bu da diş etlerinde ağrıya neden olan diş etinde yaralara neden olabilir.
DİĞER BELİRTİLER NELER OLABİLİR?
Diş eti ağrısı birden fazla ağız yada vücuttaki bir sorunun ortak bir belirtisi olabilir ve bu nedenle de hangi faktör buna yol açıyorsa buna bağlı olarak da farklı belirtiler eşlik edecektir. Ağız ve diş etlerinde ortaya çıkan diğer belirtiler şunlardır;
Ağız kokusu
Diş eti kanaması
Dişetinin parlak kırmızı veya kırmızı-mor renkte görünmesi
Hassas ve ya şişmiş diş etleri
Ağrılı ağız yaraları
Diş etlerinin çekilmesi
Diğer belirtiler ise şunlardır;
Kanama
Dişlerin gevşemesi ve diş kaybı
Mide bulantısı
Çene altında veya boyunda bulunan lenf düğümlerinin şişmei
Dil ağrısı
Zayıflık, yorgunluk ya da sersemlik
Diş eti ağrısına diş hastalıkları ve vitamin eksiklikleri sıklıkla neden olur. Periodontitis ve gingivitis gibi diş eti ve diş ve kemikleri etkileyen rahatsızlıklar diş etinde ağrıya neden olabilir. yine diş etlerinde sıvı birikmesine neden olan çeşitli sorunlar, ciddi olmayan fakat ağrı üretebilen ve ağız, damak ve diş etlerinde açık yaralar şeklinde ortaya çıkan pamukçuk hastalığı buna neden olabilir.
Özellikle C vitamini eksiklikleri diş etlerinin yumuşak, hassas, süngerimsi ve ağrı şekilde olmasına neden olur. C vitamini eksikliği ile ortaya çıkan hastalıkta kısmi ve tüm diş kaybı yaşanabilir. Genelde nedenler şunlardır;
Bakteriyel enfeksiyon veya apse
Aftlar (aftöz ülserler)
Gingivitis (diş eti iltihabı)
Periodontitis (dişleri ve kemikleri içeren diş eti çizgisinin enfeksiyonu)
Metamfetamin bağımlılığı
Buna ilaveten Behçet hastalığı ve İskorbüt (C vitamini eksikliğinde bağlı) da yukarıdakilere nispeten diş eti ağrısına neden olan daha ciddi hastalıklardır.
Bu yaygın nedeni müteakip farklı kaynaklar da diş etlerinde ağrıya neden olabilir. Gingivit ve periodontitis gibi diş etlerindeki inflamasyon diş etlerindeki ağrının yanı sıra kanama da meydana getirebilir. Diş eti dokularında ödem denilen aşırı sıvı birikimi de diş etlerinde ağrının yanı sıra şişme ve hassasiyete yol açabilir.
Daha az yaygın olarak da vitamin eksiklikleri ve Behçet sendromu da buna açabilir. Behçet hastalığında vücuttaki kan damarları boyunca kronik inflamasyon vardır ve bu da diş etlerinde ağrıya neden olan diş etinde yaralara neden olabilir.
DİĞER BELİRTİLER NELER OLABİLİR?
Diş eti ağrısı birden fazla ağız yada vücuttaki bir sorunun ortak bir belirtisi olabilir ve bu nedenle de hangi faktör buna yol açıyorsa buna bağlı olarak da farklı belirtiler eşlik edecektir. Ağız ve diş etlerinde ortaya çıkan diğer belirtiler şunlardır;
Ağız kokusu
Diş eti kanaması
Dişetinin parlak kırmızı veya kırmızı-mor renkte görünmesi
Hassas ve ya şişmiş diş etleri
Ağrılı ağız yaraları
Diş etlerinin çekilmesi
Diğer belirtiler ise şunlardır;
Kanama
Dişlerin gevşemesi ve diş kaybı
Mide bulantısı
Çene altında veya boyunda bulunan lenf düğümlerinin şişmei
Dil ağrısı
Zayıflık, yorgunluk ya da sersemlik
Diş eti ağrısına diş hastalıkları ve vitamin eksiklikleri sıklıkla neden olur. Periodontitis ve gingivitis gibi diş eti ve diş ve kemikleri etkileyen rahatsızlıklar diş etinde ağrıya neden olabilir. yine diş etlerinde sıvı birikmesine neden olan çeşitli sorunlar, ciddi olmayan fakat ağrı üretebilen ve ağız, damak ve diş etlerinde açık yaralar şeklinde ortaya çıkan pamukçuk hastalığı buna neden olabilir.
Özellikle C vitamini eksiklikleri diş etlerinin yumuşak, hassas, süngerimsi ve ağrı şekilde olmasına neden olur. C vitamini eksikliği ile ortaya çıkan hastalıkta kısmi ve tüm diş kaybı yaşanabilir. Genelde nedenler şunlardır;
Bakteriyel enfeksiyon veya apse
Aftlar (aftöz ülserler)
Gingivitis (diş eti iltihabı)
Periodontitis (dişleri ve kemikleri içeren diş eti çizgisinin enfeksiyonu)
Metamfetamin bağımlılığı
Buna ilaveten Behçet hastalığı ve İskorbüt (C vitamini eksikliğinde bağlı) da yukarıdakilere nispeten diş eti ağrısına neden olan daha ciddi hastalıklardır.