M
Misafir
Forum Okuru
İşte size Diş Eti Çekilmesi Bitkisel Tedavi Önerileri
Diş Eti Çekilmesi İçin Bitkisel Tedavi
Diş Eti Çekilmesi Bitkisel Tedavi Önerileri
Merhaba Sevgili Melek'ler, bu yazımızda ağız ve diş hastalıkları arasında başı çeken diş eti çekilmesi için bitkisel tedavi yöntemleri sunuyor ve diş eti çekilmesi sorunu yaşayan tüm arkadaşlarımızı bu sayfamıza davet ediyoruz.
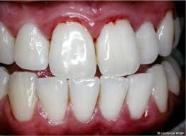
Diş Eti çekilmesi Toplumda oldukça yaygın bir ağız içi hastalığı olan diş eti çekilmesi, kanama veya iltihaplanma gibi belirtilerle oldukça sık bir biçimde görülür.
Sağlıklı diş etlerinin rengi açık pembedir ve diş eti dişlere ve kemiklere sıkıca tutunmuş olup portakal kabuğu gibi parlak, pütürlü bir görünüme sahiptir.
Dişeti kanamalarına iyi gelen bitkilere örnek olarak kankökü otu, papatya, adaçayı, sardunya, ve kekik yaygın olarak kullanılmaktadır. Diğer yandan dulavratotu kökü de dişeti kanamalarını durdurucu etkiye sahiptir. Ayrıca dişeti çekilmesine iyi gelen bitkiler olarak, siyah turp, limon ya da havuç gibi ürünler de kullanabilirsiniz. Tartar oluşumunun önlenmesinde atkuyruğu, huş ağacı yaprakları gibi otlar gargara yapılarak kullanılır.
Diş eti kanamaları ve diş eti iltihapları için bitkiler
250 ml kaynar su içerisine 2-3 çay kaşığı papatya kurusu atılır ve 10 dakika demlenmesi için beklenir. Hazırlanan bu papatya çayı süzülerek kullanıma hazır hale getirilir. Bu papatya çayı ile yemeklerden sonra gargara yapmak diş etlerine iyi gelir.
Diş eti iltihapları ve kanamaları için bir diğer faydalı bitki ise nanedir. Nanenin diş eti çürümelerine sebep olan organizmalarla savaşma özelliği vardır. 250 ml kaynar suya 2 çay kaşığı kadar kuru nane atılıp demlenmesi için beklenir. Bu nane çayını isterseniz içebilir ya da gargara yapabilirsiniz. Ayrıca taze nane yemek de diş eti hastalıklarına iyi gelir.
Diş Eti Çekilmesi Bitkisel Tedavi Önerileri
Merhaba Sevgili Melek'ler, bu yazımızda ağız ve diş hastalıkları arasında başı çeken diş eti çekilmesi için bitkisel tedavi yöntemleri sunuyor ve diş eti çekilmesi sorunu yaşayan tüm arkadaşlarımızı bu sayfamıza davet ediyoruz.
Diş Eti çekilmesi Toplumda oldukça yaygın bir ağız içi hastalığı olan diş eti çekilmesi, kanama veya iltihaplanma gibi belirtilerle oldukça sık bir biçimde görülür.
Sağlıklı diş etlerinin rengi açık pembedir ve diş eti dişlere ve kemiklere sıkıca tutunmuş olup portakal kabuğu gibi parlak, pütürlü bir görünüme sahiptir.
Dişeti kanamalarına iyi gelen bitkilere örnek olarak kankökü otu, papatya, adaçayı, sardunya, ve kekik yaygın olarak kullanılmaktadır. Diğer yandan dulavratotu kökü de dişeti kanamalarını durdurucu etkiye sahiptir. Ayrıca dişeti çekilmesine iyi gelen bitkiler olarak, siyah turp, limon ya da havuç gibi ürünler de kullanabilirsiniz. Tartar oluşumunun önlenmesinde atkuyruğu, huş ağacı yaprakları gibi otlar gargara yapılarak kullanılır.
Diş eti kanamaları ve diş eti iltihapları için bitkiler
250 ml kaynar su içerisine 2-3 çay kaşığı papatya kurusu atılır ve 10 dakika demlenmesi için beklenir. Hazırlanan bu papatya çayı süzülerek kullanıma hazır hale getirilir. Bu papatya çayı ile yemeklerden sonra gargara yapmak diş etlerine iyi gelir.
Diş eti iltihapları ve kanamaları için bir diğer faydalı bitki ise nanedir. Nanenin diş eti çürümelerine sebep olan organizmalarla savaşma özelliği vardır. 250 ml kaynar suya 2 çay kaşığı kadar kuru nane atılıp demlenmesi için beklenir. Bu nane çayını isterseniz içebilir ya da gargara yapabilirsiniz. Ayrıca taze nane yemek de diş eti hastalıklarına iyi gelir.