M
Misafir
Forum Okuru
Kireçlenme belirtileri
kireçlenme belirtileri
kireçlenme, kireçlenme tedavisi, kireçlenme nedir, kireçlenmeye ne iyi gelir,
Yine çok sıkça karşılaştığımız sağlık sorunlarından biridir kireçlenme.
Kireçlenmenin nedenlerini ve tedavi yöntemlerini ele alıyoruz bu yazımızda Melek'ler.
20’li yaşlardan itibaren başlayıp ölene kadar devam eden bir hastalıktır. Aslında kireçlenme (osteoartroz) hastalıktan ziyade fizyolojik bir durum olarak da kabul edebiliriz.
Yaş ilerledikçe, nasıl saçlarımızda beyazlar, cildimizde çizgiler ortaya çıkarsa, eklemlerde de bozulmalar, değişiklikler oluşur. Kireçlenme, kadın erkek hepimizde ortaya çıkabilen bir durumdur.
20’li yaşlardan itibaren eklemlerde; kullanmaya bağlı olarak kireçlenme başlıyor ve bu zamanla ilerleyerek 40’lı yaşlarda belirtilerini gösteriyor. Şikâyetler, kadınlarda, erkeklere oranla daha sık görülüp bunun sebebinin erkeklerin kas ve bağ dokusunun daha güçlü olmasından kaynaklandığı düşünülüyor.
Kireçlenmede değişiklikler nerede görülüyor?
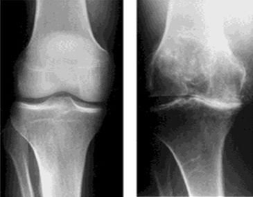
Osteoartritte yaygın patolojik değişiklikler, eklem bağ dokusunda, özellikle de eklem, subkondral kemik, eklem sıvısı ve kapsülde saptanır. Başlıca olay eklem kıkırdağındaki ilerleyici kayıptır ve buna, eklem sıvısındaki hyolünirik asidin muhteviyatının bozulması, eklem çevresindeki kemiklerin yapılarının bozulması küçük yeni kemik çıkıntılarının oluşumu eşlik eder.
Kireçlenmede risk faktörleri nelerdir?
1. Genetik Faktörler: Aile kalıtım.
2. Hormonal Faktörler: Diyabet, akromegali, gut vs.
3. Travmatik Faktörler: Meslek nedeniyle sıkça yapılan ağır kaldırma, yük taşıma, şişmanlık vs.
Kireçlenmenin belirtileri
1. Ağrı: Hastanın hekime başvurmasını sağlayan başlıca şikâyettir. Sızı şeklinde de ifade edilen ağrı küntdür, iyi lokalize edilemez. Başlangıçta hafif olan, ağrı, zamanla artarak, ufak bir harekette ve hatta dinlenme esnasında bile duyulmaya başlar. Tutulan ekleme göre bazı aktivite ve hareketlerle ağrı daha da artar. Örneğin, elin osteoartrozunda, elle bir şey sıkmak veya kavanoz kapağı açmak ağrılıdır.
2. Tutukluk: Genellikle hastalar, sabah kalktıklarında veya gün içinde, hareketsiz kaldıkları zamanlardan sonra duydukları tutukluktan yakınırlar. Tutukluk da, ağrıda olduğu gibi hava değişiklikleri ile bağlantılıdır.
3. Krepitasyon: Kıkırdak kaybı ve eklem yüzünün düzensizliği sonucu, eklemlerde görülen takır tukur seslerdir. En sık dizde, daha az kalçada duyulur.
4. Hareket kısıtlılığı ve eklemlerdeki bozulmalar: Hastalığın ileri dönemlerinde ortaya çıkar.
En sık tutulan eklemler
1. Diz eklemi: Şişman kadınlarda daha sık görülür. İleri dönemlerde eklem eğrilir. O-bacak ortaya çıkar.
2. El Eklemleri: Parmaklarda kistler, nodüller ortaya çıkar. Eğrilme sonucu hastanın parmaklarında şekil bozuklukları ve güçsüzlük meydana gelir.
3. Kalça eklemi: Erkek ve kadınlarda eşit oranda görülür. Şişmanlıkla ilgisi gösterilmemiştir.
4. Omurgalar: Öncelikle bel ve boyun omurları etkilenir.
Kireçlenme tedavileri
1. İlaç tedavisi
Ağrı kesici diye tabir edilen nonsteroid antienflamatuar ilaçlar. Eklem içi hyaluranan ilaçlar?
Dikkat: Osteoartrozda korüzon tedavisinin yeri yoktur.
2. Fizik tedavi ve rehabilitasyon
Kireçlenmede uygulanan ana tedavidir. Kireçlenmesi olan kişilerin ilk başvurmaları gereken hekim fizik tedavi uzmanıdır.
Kireçlenmede önemli olan, eklemi bozulmadan koruyucu tedaviye almaktır. 40 yaşından sonra, düzenli olarak fizik tedavi uzmanının kontrolü altında olmak; tüm eklem, kemik ve kasları korumak ve vücuda sağlıklı bir şekilde yaşlanma hakkı tanımak açısından önemlidir.
Kireçlenmede fizik tedavi alanında sıcak-soğuk uygulamalar, ağrı kesici akımlar, kas programları, egzersizler, tedavi masajları vs. uygulanmaktadır.
3. Cerrah tedavi
Çok ileri vakalarda protez uygulamalar mevcuttur. Burada önemli nokta operasyon öncesi ve sonrası mutlaka fizik tedavi uygulanmasının ne kadar önemli olduğunun bilinmesidir.
Doç. Dr. Meral Kozakçıoğlu
kireçlenme, kireçlenme tedavisi, kireçlenme nedir, kireçlenmeye ne iyi gelir,
Yine çok sıkça karşılaştığımız sağlık sorunlarından biridir kireçlenme.
Kireçlenmenin nedenlerini ve tedavi yöntemlerini ele alıyoruz bu yazımızda Melek'ler.
20’li yaşlardan itibaren başlayıp ölene kadar devam eden bir hastalıktır. Aslında kireçlenme (osteoartroz) hastalıktan ziyade fizyolojik bir durum olarak da kabul edebiliriz.
Yaş ilerledikçe, nasıl saçlarımızda beyazlar, cildimizde çizgiler ortaya çıkarsa, eklemlerde de bozulmalar, değişiklikler oluşur. Kireçlenme, kadın erkek hepimizde ortaya çıkabilen bir durumdur.
20’li yaşlardan itibaren eklemlerde; kullanmaya bağlı olarak kireçlenme başlıyor ve bu zamanla ilerleyerek 40’lı yaşlarda belirtilerini gösteriyor. Şikâyetler, kadınlarda, erkeklere oranla daha sık görülüp bunun sebebinin erkeklerin kas ve bağ dokusunun daha güçlü olmasından kaynaklandığı düşünülüyor.
Kireçlenmede değişiklikler nerede görülüyor?
Osteoartritte yaygın patolojik değişiklikler, eklem bağ dokusunda, özellikle de eklem, subkondral kemik, eklem sıvısı ve kapsülde saptanır. Başlıca olay eklem kıkırdağındaki ilerleyici kayıptır ve buna, eklem sıvısındaki hyolünirik asidin muhteviyatının bozulması, eklem çevresindeki kemiklerin yapılarının bozulması küçük yeni kemik çıkıntılarının oluşumu eşlik eder.
Kireçlenmede risk faktörleri nelerdir?
1. Genetik Faktörler: Aile kalıtım.
2. Hormonal Faktörler: Diyabet, akromegali, gut vs.
3. Travmatik Faktörler: Meslek nedeniyle sıkça yapılan ağır kaldırma, yük taşıma, şişmanlık vs.
Kireçlenmenin belirtileri
1. Ağrı: Hastanın hekime başvurmasını sağlayan başlıca şikâyettir. Sızı şeklinde de ifade edilen ağrı küntdür, iyi lokalize edilemez. Başlangıçta hafif olan, ağrı, zamanla artarak, ufak bir harekette ve hatta dinlenme esnasında bile duyulmaya başlar. Tutulan ekleme göre bazı aktivite ve hareketlerle ağrı daha da artar. Örneğin, elin osteoartrozunda, elle bir şey sıkmak veya kavanoz kapağı açmak ağrılıdır.
2. Tutukluk: Genellikle hastalar, sabah kalktıklarında veya gün içinde, hareketsiz kaldıkları zamanlardan sonra duydukları tutukluktan yakınırlar. Tutukluk da, ağrıda olduğu gibi hava değişiklikleri ile bağlantılıdır.
3. Krepitasyon: Kıkırdak kaybı ve eklem yüzünün düzensizliği sonucu, eklemlerde görülen takır tukur seslerdir. En sık dizde, daha az kalçada duyulur.
4. Hareket kısıtlılığı ve eklemlerdeki bozulmalar: Hastalığın ileri dönemlerinde ortaya çıkar.
En sık tutulan eklemler
1. Diz eklemi: Şişman kadınlarda daha sık görülür. İleri dönemlerde eklem eğrilir. O-bacak ortaya çıkar.
2. El Eklemleri: Parmaklarda kistler, nodüller ortaya çıkar. Eğrilme sonucu hastanın parmaklarında şekil bozuklukları ve güçsüzlük meydana gelir.
3. Kalça eklemi: Erkek ve kadınlarda eşit oranda görülür. Şişmanlıkla ilgisi gösterilmemiştir.
4. Omurgalar: Öncelikle bel ve boyun omurları etkilenir.
Kireçlenme tedavileri
1. İlaç tedavisi
Ağrı kesici diye tabir edilen nonsteroid antienflamatuar ilaçlar. Eklem içi hyaluranan ilaçlar?
Dikkat: Osteoartrozda korüzon tedavisinin yeri yoktur.
2. Fizik tedavi ve rehabilitasyon
Kireçlenmede uygulanan ana tedavidir. Kireçlenmesi olan kişilerin ilk başvurmaları gereken hekim fizik tedavi uzmanıdır.
Kireçlenmede önemli olan, eklemi bozulmadan koruyucu tedaviye almaktır. 40 yaşından sonra, düzenli olarak fizik tedavi uzmanının kontrolü altında olmak; tüm eklem, kemik ve kasları korumak ve vücuda sağlıklı bir şekilde yaşlanma hakkı tanımak açısından önemlidir.
Kireçlenmede fizik tedavi alanında sıcak-soğuk uygulamalar, ağrı kesici akımlar, kas programları, egzersizler, tedavi masajları vs. uygulanmaktadır.
3. Cerrah tedavi
Çok ileri vakalarda protez uygulamalar mevcuttur. Burada önemli nokta operasyon öncesi ve sonrası mutlaka fizik tedavi uygulanmasının ne kadar önemli olduğunun bilinmesidir.
Doç. Dr. Meral Kozakçıoğlu