Uzman SühaN
Administrator
Skolyoz da tedavi seçenekleri
Skolyoz sırt, kalça veya bacaklarda tekrarlayan ağrı ve rahatsızlığa neden olabilen bir durumdur. Omurganın bir yana eğriliği ile karakterize olan durum hareket aralığı sınırlayabilir ve ciddi durumlarda ise spinal sinirlere baskı yapabilir ve inflamasyona yol açabilir. Skolyozun bir çok farklı tedavi seçeneği bulunmaktadır ve bunlar kişinin hareket aralığını iyileştirmek ve sorunu idare edebilmeyi amaçlayarak kişinin hayat standartlarını yükseltebilmektedir.
Kayropraktik Tedavi
Kayropraktik tedavi skolyozlu hastanın ağrısını hafifletmek ve hareketliliğini artırmak için yapılabilir. Tedavinin amaçları arasında omurga ayarlanacak şekilde vücutta manipülasyonlar yapılmasını içerir. Kiropraktik tedavi, genellikle uzun bir süre içinde ve sürekli yapılır.
İlaç
Skolyoz tedavisinde kullanılan ilaçlar ağrıyı ve inflamasyonu azaltır. Bu sayede hasta günlük aktivitelerini daha kolay şekilde sürdürebilir. Reçetesiz veya reçeteli ilaçlar skolyoz için verilebilir. İlaçların ağrıyı dindirmek için etkili olmaması durumunda aşırı ağrı varsa kortikosteroidler de kullanılabilir.
Seçici Sinir Kökü Bloğu
Skolyozun ciddi durumları olan sinir sıkışması durumunda tedavide bazı sinirlerin seçilerek bunun kökünün engellenmesi yer almaktadır. Prosedür genellikle spinal sinir kökü etrafına ilaç enjeksiyonu yapılması ile gerçekleştirilir. Bir anestetik ilaç uyuşturma işlemi için kullanılır ve inflamasyonu azaltmak için steroid enjeksiyonu yapılır.
Sırt Destekleme Araçları
Skolyoz için bel fıtığında olduğu gibi sırt yada bele kolaylıkla takılan aparatlar hastaya yardımcı olabilmektedir. Genellikle çocuklar için kullanılan bu aparatlar yetişkinler için de ağrıyı azaltmak için kullanılabilir. Skolyozun şiddetine bağlı olarak, bu destekleme araçlarını her zaman giymek gerekebilir.
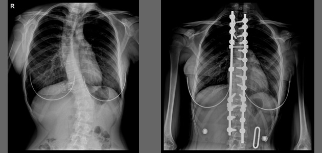
Cerrahi
Cerrahi operasyonlar genellikle sadece skolyozun aşırı durumlarında yapılır. Cerrah omurlar arasından bir ya da daha fazla disk çıkarabilir ve daha sonra çubuklar, barlar veya teller yardımı ile omurga stabilize haline getirilir.
Skolyoz tedavisinde hareketliliğin artırılması amacı ile fizik tedavi, masaj ve germe hareketleri de faydalı olabilir. Nemli ısı da ağrıyı azaltabilir.
Kayropraktik Tedavi
Kayropraktik tedavi skolyozlu hastanın ağrısını hafifletmek ve hareketliliğini artırmak için yapılabilir. Tedavinin amaçları arasında omurga ayarlanacak şekilde vücutta manipülasyonlar yapılmasını içerir. Kiropraktik tedavi, genellikle uzun bir süre içinde ve sürekli yapılır.
İlaç
Skolyoz tedavisinde kullanılan ilaçlar ağrıyı ve inflamasyonu azaltır. Bu sayede hasta günlük aktivitelerini daha kolay şekilde sürdürebilir. Reçetesiz veya reçeteli ilaçlar skolyoz için verilebilir. İlaçların ağrıyı dindirmek için etkili olmaması durumunda aşırı ağrı varsa kortikosteroidler de kullanılabilir.
Seçici Sinir Kökü Bloğu
Skolyozun ciddi durumları olan sinir sıkışması durumunda tedavide bazı sinirlerin seçilerek bunun kökünün engellenmesi yer almaktadır. Prosedür genellikle spinal sinir kökü etrafına ilaç enjeksiyonu yapılması ile gerçekleştirilir. Bir anestetik ilaç uyuşturma işlemi için kullanılır ve inflamasyonu azaltmak için steroid enjeksiyonu yapılır.
Sırt Destekleme Araçları
Skolyoz için bel fıtığında olduğu gibi sırt yada bele kolaylıkla takılan aparatlar hastaya yardımcı olabilmektedir. Genellikle çocuklar için kullanılan bu aparatlar yetişkinler için de ağrıyı azaltmak için kullanılabilir. Skolyozun şiddetine bağlı olarak, bu destekleme araçlarını her zaman giymek gerekebilir.
Cerrahi
Cerrahi operasyonlar genellikle sadece skolyozun aşırı durumlarında yapılır. Cerrah omurlar arasından bir ya da daha fazla disk çıkarabilir ve daha sonra çubuklar, barlar veya teller yardımı ile omurga stabilize haline getirilir.
Skolyoz tedavisinde hareketliliğin artırılması amacı ile fizik tedavi, masaj ve germe hareketleri de faydalı olabilir. Nemli ısı da ağrıyı azaltabilir.